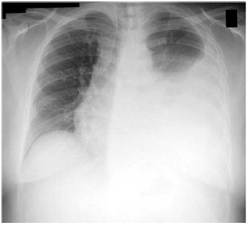
Certo paciente de 25 anos de idade sofreu uma queda de moto
há 45 dias, com atendimento no hospital de pronto-socorro. Ele
foi diagnosticado com hemotórax, teve o tórax drenado na
ocasião e retirou-se o dreno no quinto dia, após resolução
completa do quadro. O paciente, então, retornou com dor
torácica ventilatória dependente à direita, febre e tosse com
escarro mucopurulento. Depois da avaliação inicial, raios X
foram solicitados, os quais estão disponíveis na imagem a
seguir.
No que concerne a esse caso clínico hipotético, e considerando a imagem radiográfica apresentada, assinale a alternativa que indica, respectivamente, a hipótese diagnóstica e o tratamento para esse paciente.
No que concerne a esse caso clínico hipotético, e considerando a imagem radiográfica apresentada, assinale a alternativa que indica, respectivamente, a hipótese diagnóstica e o tratamento para esse paciente.