Magna Concursos
2159537 Ano: 2021
Disciplina: Medicina
Banca: VUNESP
Orgão: PB Saúde
Provas:

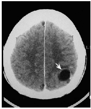
Paciente masculino, 32 anos, previamente hígido, admitido no pronto-socorro com crises convulsivas tônico- clônicas generalizadas. Realizou tomografia de crânio sem contraste em anexo. Assinale a alternativa que apresenta causa mais provável para as crises epilépticas desse paciente.

Enunciado 2971932-1

(https://www.google.com.br/url?sa=i&url=http%3A%2F% 2Fanatpat.unicamp.br%2Fradcisti1.html&psig= AOvVaw3ggRImGRRs2HpnFI_iMY6B&ust= 1627055724801000&source=images&cd=vfe&ved= 0CAsQjRxqFwoTCOiM8YqF9_ECFQAAAAAdAAAAABAD)

 

Provas

Questão presente nas seguintes provas

Médico - Neurologia Adulto

50 Questões