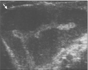
“Criança, dois anos, é submetida ao ultrassom para investigação de quadro de vômitos, fezes muco-sanguinolentas e
massa abdominal palpável.” O ultrassom abdominal chama atenção em determinado momento pelo achado a seguir
(seta branca):

(Disponível em: http://www.scielo.br/scielo.php?pid=S0100-39842005000300010&script=sci_arttext.)
Assinale a hipótese diagnóstica mais provável para este caso.

(Disponível em: http://www.scielo.br/scielo.php?pid=S0100-39842005000300010&script=sci_arttext.)
Assinale a hipótese diagnóstica mais provável para este caso.
Provas
Questão presente nas seguintes provas
Técnico Nível Superior I - Médico Radiologista
30 Questões