Magna Concursos
1458937 Ano: 2007
Disciplina: Biologia
Banca: CESPE / CEBRASPE
Orgão: SEDUC-MT

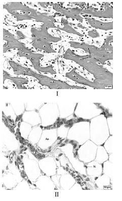
enunciado 1458937-1

Referentemente a histologia animal, é correto afirmar que os tecidos ilustrados nas figuras I e II acima são, respectivamente,

 

Provas

Questão presente nas seguintes provas

Professor da Educação Básica - Física

50 Questões