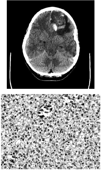
Paciente de 30 anos com quadro de cefaleia há alguns meses e história de primeira crise convulsiva há 1 semana. Não apresenta deficits neurológicos.
Apresenta esta imagem de tomografia computadorizada sem contraste e, após a cirurgia, observa-se tal lâmina em cortes HE.

Qual a sua impressão diagnóstica: