Magna Concursos
Questões
Planos
Entrar
Entrar
Criar Conta
Respondida
849524
Ano:
2016
Disciplina:
Medicina
Banca:
Consulplan
Orgão:
Pref. Sabará-MG
Provas:
Médico - Radiologista
Provas
×
Medicina Nuclear
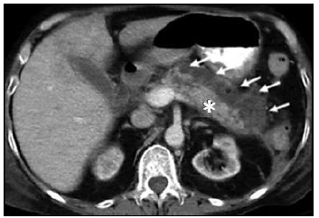
Observe atentamente a seguinte TC abdominal com contraste VOVO e IVIV:
É
correto
afirmar que a imagem anterior trata-se
A
provavelmente de ruptura esplênica.
B
de necrose pancreática, com as setas demonstrando a área ainda sadia, e o asterisco a área do pâncreas necrosada.
C
de necrose pancreática, com as setas demonstrando a área de necrose, e o asterisco a área do pâncreas ainda sadio.
D
de um infarto mesentérico, com as setas demonstrando a área de necrose, e o asterisco a área de omento ainda sadio.
Resolver
Comentários
0
×
Cadernos
×
Flashcards
×
Estatísticas
×
Reportar um erro
×
Provas
Questão presente nas seguintes provas
Médico - Radiologista
50 Questões
Resolver Prova
Publicar
Responder
Qual o problema da questão?
Selecione uma opção
Questão Desatualizada
Questão Repetida
Gabarito Errado
Outros Motivos
Mensagem
Enviar
Acessar
Criar Conta
Acesse sua Conta
Google
Facebook
Esqueci minha senha
Acessar
Ainda não tem conta?
Crie uma
!
Crie uma Conta
Criar Conta
Olá, para continuar, precisamos criar uma conta!
É
rápido
e
grátis
.
Google
Facebook
Concordo com os
Termos de Uso
Criar
Já tem uma conta?
Acesse aqui