Magna Concursos
1458911 Ano: 2007
Disciplina: Biologia
Banca: CESPE / CEBRASPE
Orgão: SEDUC-MT

enunciado 1458911-1

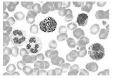
A figura acima ilustra uma fotomicrografia do esfregaço sanguíneo de um organismo pertencente à classe

 

Provas

Questão presente nas seguintes provas

Professor da Educação Básica - Biologia

50 Questões