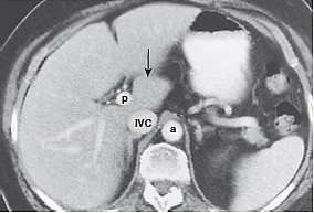
O exame de tomografia computadorizada de abdome com contraste é muito utilizado para a identificação de estruturas e delimitação de lesões, sendo, muitas vezes, essencial no diagnóstico de determinadas patologias. Segundo a segmentação hepática proposta por Couinaud (1957), assinale a alternativa que apresenta o segmento hepático que está sendo apontado pela seta preta na figura a seguir.

Tomografia computadorizada com contraste do fígado. Veia
Assinale a alternativa correta.