- CirurgiaCirurgia BucomaxilofacialCirurgia Maxilofacial: Acidentes e Complicações
- Implantodontia
- Odontologia Pré-ClínicaMicrobiologia na Odontologia Pré-Clínica
- Periodontia
- PrótesePrótese sobre Implante
- Farmacologia

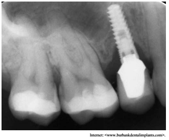
Um paciente que havia recebido implante unitário colocado no lugar do dente 15, não compareceu às visitas de manutenção e retornou dois anos depois, com a condição apresentada na imagem precedente. O tecido mole peri-implantar apresentava sinais clínicos de inflamação, com supuração e sangramento à sondagem.
Com base na situação hipotética e na figura apresentadas, julgue o item que se segue.
A terapia não cirúrgica, mesmo com o uso de antimicrobianos tópicos, demonstrou ser bastante ineficaz no tratamento das peri-implantites, devendo a abordagem cirúrgica ser preferencial na situação apresentada.
Provas
Questão presente nas seguintes provas
Analista Judiciário - Odontologia/Periodontia
120 Questões