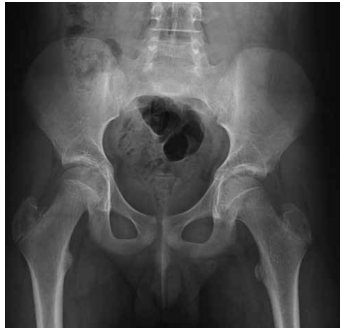
Paciente de 15 anos, sexo masculino, IMC = 38
kg/m2, vem apresentando dor na coxa e região
púbica a esquerda há 4 semanas e queixa de claudicação intermitente. Nega trauma e não refere a
prática de atividades físicas. Foi encaminhado ao
ortopedista que solicitou exame radiográfico.

Considerando o quadro clínico e o exame radiográfico, pode-se afirmar que:

Considerando o quadro clínico e o exame radiográfico, pode-se afirmar que: