Paciente de 37 anos de idade, procura
UPA referindo apresentar há dois dias mal
estar geral, dor torácica ventilatório
dependente à D e tosse produtiva, com
expectoração amarelada e febre aferida
38ºC. É hipertenso, em uso de losartan. Ao
exame físico apresenta-se lúcido, orientado,
pouco dispneico, com mucosas
normocoradas, hidratadas, escleróticas
anictéricas; ao exame pulmonar apresenta
aumento do frêmito toracovocal em terço
médio de hemitórax D, onde ausculta-se um
sopro tubário; ritmo cardíaco regular em
dois tempos com bulhas normofonéticas, sem sopros. Abdome flácido, ausência de
visceromegalias. Membros inferiores sem
alterações. Sinais vitais: PA = 140/80
mmHg, FR = 24 irpm, FC = 92 bpm e
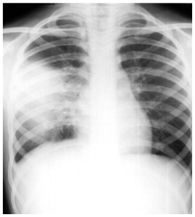
temperatura axilar = 37,8ºC. Foi realizado
RX de tórax no atendimento, o qual é
mostrado abaixo. Assinale a alternativa que
corresponde CORRETAMENTE ao
ambiente para o tratamento inicial e o
antibiótico de escolha.

