
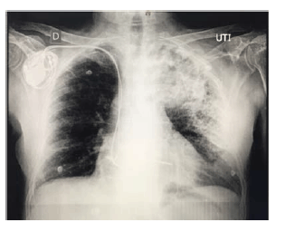
Considere um paciente de 66 anos de idade, com histórico de hipertensão arterial e diabetes controlados, além de ser cardiopata com marcapasso artificial. Relata calafrios com dois dias de evolução e tosse produtiva, além de estar taquipneico, com FR = 32 ipm, com PA = 110 mmHg x 82 mmHg; e com pulso = 126 bpm. Refere cansaço com dispneia. Tem nível de consciência preservado, com SatO2 = 89% (ar ambiente) e ureia = 58 mg/dL (VR = 5 mg/dL – 40 mg/dL). Apresenta o exame de raios X de tórax mostrado e nega internação ou uso de antibióticos no último ano.
Com relação a esse caso clínico e com base nos conhecimentos médicos correlatos, julgue os itens a seguir.