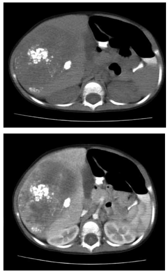
Criança, 18 meses, apresentando massa indolor
palpável no quadrante superior direito do abdome e perda de peso. Solicitados exames laboratoriais demonstrando anemia e elevação de alfafetoproteina (AFP) e
exame de imagem conforme demonstrado abaixo.

A partir do quadro clínico e exame de imagem, pode-se afirmar, EXCETO:

A partir do quadro clínico e exame de imagem, pode-se afirmar, EXCETO: