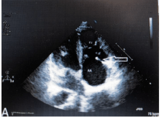
Paciente de 40 anos do sexo feminino, deu entrada na emergência referindo quadro de diarreia volumosa, confusão mental e flushing cutâneo. Relata ainda, perda de peso e intensificação dos sintomas que já duram mais de 3 meses. Ao exame físico, chamava atenção um sopro em foco tricúspide e sibilos pulmonares. Foi estabilizada e encaminhada ao laboratório de ecocardiografia que adquiriu a seguinte imagem ao exame transtorácico, compatível com achados ecocardiográficos da síndrome carcinoide.

Sobre a síndrome carcinoide, analise as afirmativas abaixo.
I. O diagnóstico de Síndrome carcinoide tem como base achados clínicos típicos e é confirmado pela dosagem de ácido 5-hidroxindolacético (5-HIAA), um produto final do metabolismo da serotonina, em urina coletada em 24 horas
II. O ecocardiograma nessa patologia geralmente mostra acometimento mitral concomitante em 20% dos casos
III. A fibrilação atrial está presente em menos de 20% dos casos e foram registradas apresentações graves com relatos de morte súbita
IV. Patologia frequentemente associada a tumores secretores de Dopamina.
Estão corretas as afirmativas: