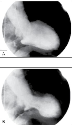
Mulher de 62 anos, previamente saudável, apresenta dor torácica subesternal e dispneia nas últimas 2 horas. O desconforto começou minutos depois de saber que seu filho havia se ferido gravemente em um acidente automobilístico. O histórico é notável para hipertensão arterial. Exame físico: pressão arterial: 152 x 84 mmHg; frequência cardíaca: 88 bpm; saturação de O2: 96%; tórax normal; exame cardíaco: não há galope ou sopro; extremidades sem edema. ECG: inversões difusas da onda T. Exames laboratoriais são inespecíficos e a troponina cardíaca é de 1,07 ng/mL (normal <0,01 ng/mL). O desconforto torácico persiste, apesar da nitroglicerina IV, e a angiografia coronária é realizada. Não são encontradas estenoses coronárias. A ventriculografia esquerda é mostrada a seguir.

(Arquivo pessoal: imagem usada com autorização.)
Nessa circunstância, é correto afirmar: