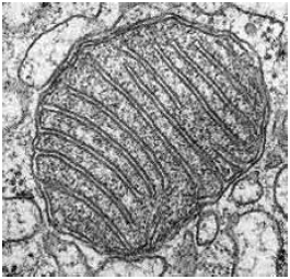
A imagem da organela a seguir foi obtida a partir de microscopia eletrônica.

(www2.ibb.unesp.br)
As cristas, dobras internas, dessa organela são essenciais em seu metabolismo bioquímico, uma vez que são locais onde ocorre
Provas
Questão presente nas seguintes provas