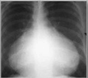
Uma adolescente de 12 anos foi levada à Emergência e sua mãe relata falta de apetite, mal-estar, náuseas e dor no peito, com irradiação para ombro esquerdo há 24 horas. A anamnese revela que foi submetida à correção cirúrgica comunicação intra-atrial (CIA) há 20 dias. O exame físico apresentou estado geral regular, t.ax: 382C; FR: 52 irpm; FC:100 bpm; PA: 100 x 60 mmHg; ACV: presença de discreto som de atrito pericárdico; AR: sem alterações; fígado e baço não palpados. Os exames laboratoriais apresentaram o seguinte resultado: HM: 4.800.00 mm³; Hb: 12,5 g/dL; Hto: 37,5%; Leucócitos 10.100/ mm³; B: 3%; S: 32%; L: 48%; VHS: 10 mm; RX de tórax. De acordo com o exposto, analise a imagem a seguir.

Assinale a alternativa que apresenta o diagnóstico e a conduta correta para o caso referido.