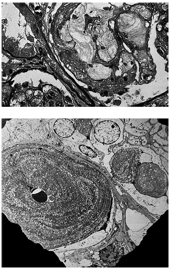
Paciente do sexo masculino, 40 anos de idade, asiático, apresenta hematúria, proteinúria e síndrome nefrótica resistente à corticoterapia. O anatomopatológico está representado nas figuras a seguir.

O provável diagnóstico é
Provas
Questão presente nas seguintes provas