Magna Concursos
1997258 Ano: 2020
Disciplina: Medicina
Banca: IADES
Orgão: FEPECS

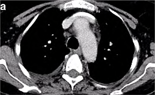
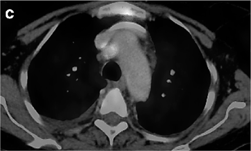
Um paciente de 62 anos de idade, tabagista ativo, cerca de 180 anos-maço, queixa-se de cansaço, tosse seca e perda de peso; por isso, procurou atendimento médico. O paciente referiu que pesava 100 kg e perdeu 10 kg. Realizou-se tomografia computadorizada de tórax, com evidência de lesão sólida de 2,1 cm em topografia de lobo inferior à direita, sólida, espiculada, com margens bem definidas e densidade de partes moles, assim como linfonodomegalia paratraqueal direita de 1,5 cm, paratraqueal esquerda de 1,2 cm e subcarinal de 2 cm. O paciente foi submetido a PET-CT de corpo inteiro, com evidência de hipercaptação de radiofármaco pela lesão (SUV 12) e pelo linfonodo representado na figura 2 a seguir.


Figura 1: TC de tórax sem contraste


Enunciado 1997258-1


Figura 2: PET-CT do tórax.


Enunciado 1997258-2

Acervo Pessoal.


Com base nesse caso clínico, nas imagens apresentadas e nos conhecimentos médicos correlatos, julgue os itens a seguir.

O paciente tem indicação, nesse momento, de lobectomia superior direita por VATS, com linfadenectomia mediastinal.

 

Provas

Questão presente nas seguintes provas