Magna Concursos
3034962 Ano: 2024
Disciplina: Odontologia
Banca: ADVISE
Orgão: Pref. Serra Raiz-PB
Provas:

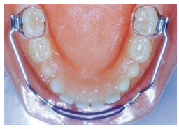
Observe a imagem e indique o equipamento odontológico demonstrado:

Enunciado 3505581-1

 

Provas

Questão presente nas seguintes provas

Técnico de Saúde Bucal

40 Questões