Magna Concursos
Questões
Planos
Entrar
Entrar
Criar Conta
Respondida
602003
Ano:
2013
Disciplina:
Odontologia
Banca:
CESPE / CEBRASPE
Orgão:
MPU
Provas:
Técnico do MPU - Saúde Bucal
Provas
×
Anatomia Dentária e Oclusão
Odontologia Pré-Clínica
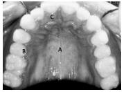
Considerando a imagem apresentada acima, julgue o item subsecutivo.
A letra A indica o palato duro.
C
Certo
E
Errado
Resolver
Comentários
0
×
Cadernos
×
Flashcards
×
Estatísticas
×
Reportar um erro
×
Provas
Questão presente nas seguintes provas
Técnico do MPU - Saúde Bucal
120 Questões
Resolver Prova
Publicar
Responder
Qual o problema da questão?
Selecione uma opção
Questão Desatualizada
Questão Repetida
Gabarito Errado
Outros Motivos
Mensagem
Enviar
Acessar
Criar Conta
Acesse sua Conta
Google
Facebook
Esqueci minha senha
Acessar
Ainda não tem conta?
Crie uma
!
Crie uma Conta
Criar Conta
Olá, para continuar, precisamos criar uma conta!
É
rápido
e
grátis
.
Google
Facebook
Concordo com os
Termos de Uso
Criar
Já tem uma conta?
Acesse aqui