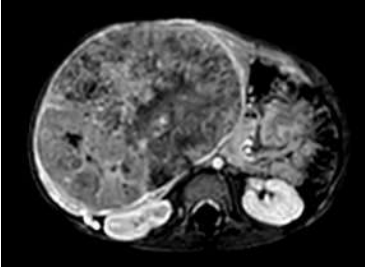
Menino, 2 anos e 6 meses, com aumento de tamanho do abdominal há meses, maior em hipocôndrio e flanco direitos. Ao exame físico: circulação colateral evidente e hepatomegalia endurecida a 8cm do rebordo costal direito.

Em relação ao diagnóstico de sua principal hipótese, é correto afirmar: