
A figura acima mostra a fotografia de um corte anatômico realizado em cadáver. Considerando os dados mostrados na figura, julgue os itens a seguir.
A figura mostra um corte transversal, aproximadamente no nível da 11.ª vértebra torácica.

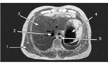
A figura acima mostra a fotografia de um corte anatômico realizado em cadáver. Considerando os dados mostrados na figura, julgue os itens a seguir.
A figura mostra um corte transversal, aproximadamente no nível da 11.ª vértebra torácica.