
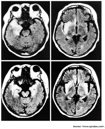
Um paciente com vinte e cinco anos de idade foi admitido em um hospital apresentando, havia cinco dias, febre persistente, cefaleia holocraniana, oscilações de humor e alterações no seu comportamento habitual. O paciente fez uso de analgésicos e antitérmicos, em casa, administrados pela própria família, mas a resposta aos medicamentos foi parcial e temporária. No quinto dia, o paciente estava excessivamente sonolento, e apresentou crise convulsiva tônico-clônica, sendo então levado para atendimento médico de urgência. Acerca desse caso clínico, julgue o item a seguir considerando o exame de imagem mostrado. O agente etiológico da infecção é do mesmo tipo que causa a meningite linfocítica recorrente, também conhecida com meningite recorrente de Mollaret.