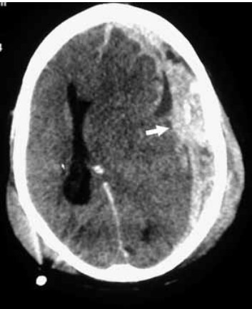
Analise a imagem tomográfica.

(https://www.google.com/ url?sa=i&url=https%3A%2F%2Fpt.wikipedia.org%2Fwiki%)
O diagnóstico correto é:
Analise a imagem tomográfica.

(https://www.google.com/ url?sa=i&url=https%3A%2F%2Fpt.wikipedia.org%2Fwiki%)
O diagnóstico correto é: