Magna Concursos
2094512 Ano: 2021
Disciplina: Medicina
Banca: FGV
Orgão: FunSaúde-CE
Provas:

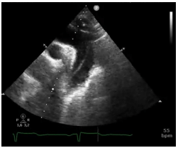
Analise a figura a seguir.

Enunciado 2094512-1

Em relação à figura acima, assinale a opção que indica a condição patológica evidenciada.

 

Provas

Questão presente nas seguintes provas

Médico - Ecocardiografia

70 Questões