Magna Concursos
2057177 Ano: 2021
Disciplina: Medicina
Banca: FGV
Orgão: FunSaúde-CE
Provas:

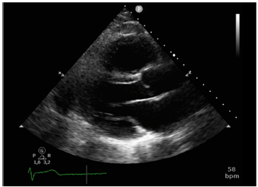
Analise a figura a seguir.

Enunciado 2057177-1

As cúspides aórticas vistas nessa imagem são:

 

Provas

Questão presente nas seguintes provas

Médico - Ecocardiografia

70 Questões