Magna Concursos
2920446 Ano: 2023
Disciplina: Medicina
Banca: FGV
Orgão: ALEMA
Provas:
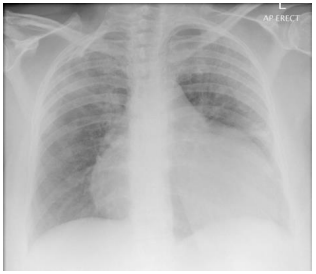
Homem, 60 anos, portador de diabetes mellitus e insuficiência renal crônica em hemodiálise três vezes por semana há dois anos. Na última semana, após faltar a duas sessões de diálise, evoluiu com dispneia aos pequenos esforços e dor torácica pleurítica.
Enunciado 3216868-1

Considerando sua radiografia de tórax (acima), assinale a opção que apresenta um possível achado no seu exame físico.
 

Provas

Questão presente nas seguintes provas

Médico - Cardiologia

60 Questões