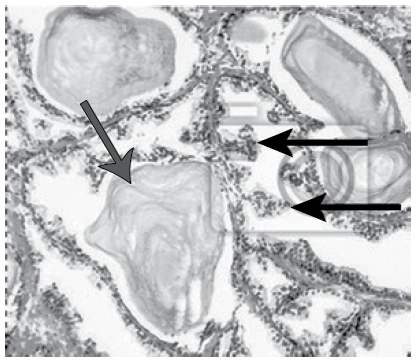
O câncer de próstata (CP) é a neoplasia mais frequente em homens e a 2a maior causa de morte entre homens no Brasil. A imagem a seguir foi realizada através de anatomopatológico de um paciente de 58 anos, etnia negra e que possui o exame nível sérico de Antígeno Prostático Específico (PSA) elevado – 5,2 ng/mL, para se necessário realizar o estadiamento na escala de Gleason.
Com base no arranjo das células conforme imagem, trata-se de
Imagem: Lâmina de anatomopatológico da próstata

(Imagem gentilmente cedida pelo Laboratório de Patologia Clínica da FMABC)