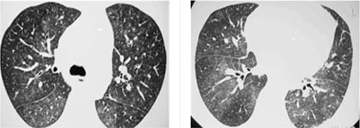
Um Paciente de 25 anos de idade, com tosse e febre de início súbitos 60 dias após transplante de medula óssea, realizou RT-PCR para Covid-19, cujo resultado foi negativo. Constataram-se exame de BAAR negativo, teste de Mantoux negativo e fibrobroncoscopia com cultura e BAAR negativos. A tomografia de tórax apresenta opacidades com atenuação em vidro fosco e pequenos nódulos pulmonares bilaterais, conforme as imagens a seguir.

Acervo Pessoal.
Considerando esse caso clínico, as imagens apresentadas e os conhecimentos médicos correlatos, julgue os itens a seguir.
Citomegalovírus em paciente imunocomprometido é uma das possibilidades diagnósticas.
Provas
Questão presente nas seguintes provas
Residência em Medicina - Endoscopia Respiratória II
120 Questões