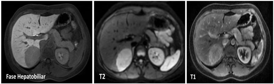
Homem, 42a, previamente hígido, inicia quadro dor abdominal, de leve intensidade, sem outros comemorativos. Realizou ultrassonografia de abdome com achado de lesão hipoecogênica, de 6cm, em segmento VI. Solicitada tomografia de abdome com achado de fígado sem sinais de hepatopatia e lesão homogênea, de limites bem definidos, medindo 4,9cm no maior eixo, localizada em segmento VI, com vascularização homogênea em fase portal sem cicatriz central, no entanto, não podendo descartar o diagnóstico de hiperplasia nodular focal.
Frente a este quadro, é solicitada ressonância magnética nuclear de abdome com contraste hepatobiliar especifico (PrimovistR ), com as seguintes imagens:

Qual o diagnóstico e a conduta?