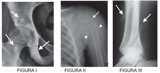
Analise as figuras (I, II e III) e as indicações das setas, depois assinale a alternativa correta.
Figura I: Fêmur e quadril; Figura II: Úmero; Figura III: Tíbia e Fíbula.
Figura I: Fêmur e quadril; Figura II: Clavícula; Figura III: Tíbia e Fíbula.
Figura I: Fêmur e quadril; Figura II: Escápula; Figura III: Tíbia e Fíbula.
Figura I: Quadril e Pelve; Figura II: Úmero; Figura III: Fêmur.
Olá, para continuar, precisamos criar uma conta! É rápido e grátis.