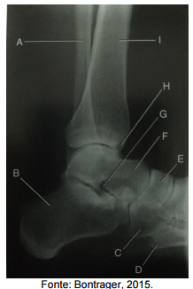
Analise a figura a seguir, que apresenta uma imagem de uma radiografia em perfil do
tornozelo.

Assinale a alternativa que apresenta a correta correlação entre a indicação e a estrutura na imagem tomográfica.

Assinale a alternativa que apresenta a correta correlação entre a indicação e a estrutura na imagem tomográfica.