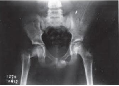
Com base na classificação de Delbet, analise a radiografia, abaixo:

http://rbo.org.br/detalhes/205/pt-BR/fratura-do-colo-do-femur-em-criancas #:~:text=As%20classifica%C3%A7%C3%B5es%20conhecidas%20das%20fraturas,cisalhamento%20no%20foco%20da%20fratura.
Com base na radiografia, podemos afirmar que se trata de: