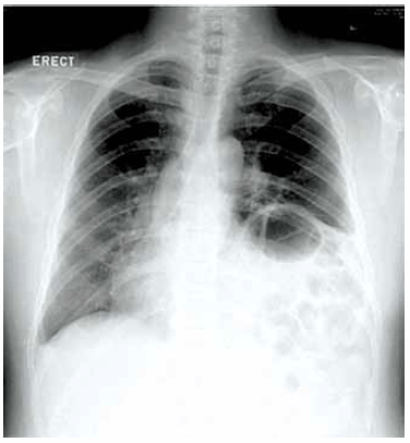
Homem de 73 anos, atendido em hospital após acidente automobilístico (condutor), apresentando contusões e escoriações na parede torácica e abdominal, encontra-se ansioso e agitado, com PA 110 x 75 mmHg, pulso 92 bpm, FR 24 irpm e saturação de oxigênio de 89%. Relata falta de ar e dor à palpação do abdome. No exame físico, o murmúrio vesicular está diminuído em base esquerda. RX tórax a seguir.

Com base na história clínica e nos dados do exame físico apresentados, a conduta a ser realizada ao paciente e a hipótese diagnóstica são, respectivamente: