Magna Concursos
1714858 Ano: 2005
Disciplina: Serviços Gerais
Banca: CESPE / CEBRASPE
Orgão: HUB

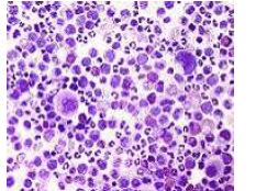
Chegam ao laboratório de análises clínicas diversas amostras de sangue de um paciente com suspeita de sepse, com solicitação dos seguintes exames: hemocultura, hemograma completo, prova de fragilidade capilar, análise de fator XIII, dosagem de gama-glutamil-transferase, Na, K e exame de rotina de urina (EAS).

Considerando essas informações, julgue os seguintes itens.

Considerando a imagem abaixo como representativa de uma lâmina, é correto afirmar que essa imagem mostra um esfregaço de sangue compatível com sepse, devido à leucocitose observada.

enunciado 1714858-1

 

Provas

Questão presente nas seguintes provas