Magna Concursos
2781517 Ano: 2023
Disciplina: Medicina
Banca: VUNESP
Orgão: Pref. Pindamonhangaba-SP
Provas:

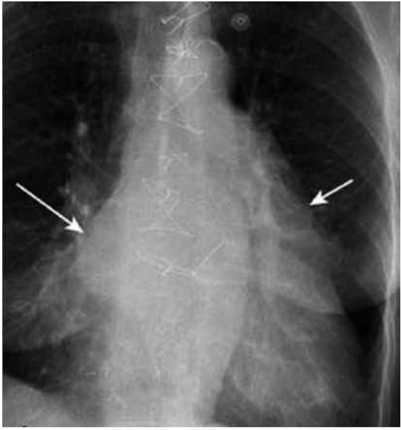
As setas na radiografia a seguir indicam a dilatação da(s) seguinte(s) câmara(s) cardíaca(s):

Enunciado 3561540-1

 

Provas

Questão presente nas seguintes provas

Médico - Cardiologia

40 Questões