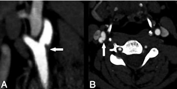
Paciente do sexo masculino, 45 anos de idade, procura o serviço de neurologia com quadro caracterizado por heminegligência, hemianopsia esquerda, parestesia no dimidio esquerda. Referiu que, 4 meses antes desse episódio, apresentou um quadro de dor cervical e dormência do lado esquerdo, com resolução espontânea em 1 dia e negou antecedentes de hipertensão arterial, diabetes e cardiopatias. Ecocardiograma e ECG seriado normais; provas reumatológicas negativas. Realizado uma tomografia e angiotomografia, que são apresentadas a seguir.

Considerando esses elementos, qual seria a sua principal hipótese diagnóstica?