Paciente de 25 anos, sexo masculino, encontra-se em situação de rua, além de ser tabagista, ex-etilista e usuário de crack.
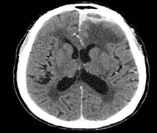
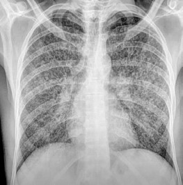
Deu entrada no Pronto-Socorro trazido por colegas, com quadro de perda ponderal de 20kg nos últimos 3 meses, além de febre diária não aferida e tosse seca há 4 semanas. Há uma semana começou a apresentar cefaleia intensa, sonolência e fala desconexa, sendo trazido ao serviço hoje, quando houve piora clínica. Realizado teste rápido de HIV que veio positivo. Realizada ainda carga viral HIV com log 5,5 e CD4 de 60.
Diagnosticado com HIV/AIDS, neurotuberculose e tuberculose pulmonar miliar. Seguem exames de imagem.


As opções a seguir indicam itens que podem ser prescritos neste momento para esse paciente, à exceção de uma. Assinale-a.