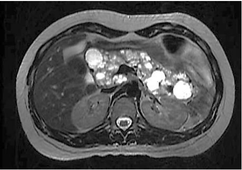
Paciente realiza ressonância magnética que individualiza múltiplas formações císticas pancreáticas, conforme a imagem a seguir:

Fonte: Arquivos Brasileiros de Endocrinologia e Metabologia, v. 43, n. 5, out. 1999.
Nesse caso, o paciente não possui maior risco de desenvolver: