Magna Concursos
2209389 Ano: 2021
Disciplina: Medicina
Banca: FAU-UNICENTRO
Orgão: FASP

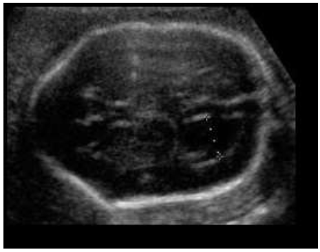
Paciente 24 anos, secundigesta, apresentando idade gestacional de 23 semanas, gestação não planejada, encaminhada para avaliação morfológica do segundo trimestre.

Após analisar as imagens abaixo, quais os sinais ecográficos encontrados e qual a hipótese diagnóstica?

Enunciado 3377065-1

Enunciado 3377065-2

 

Provas

Questão presente nas seguintes provas