Magna Concursos
353592 Ano: 2019
Disciplina: Medicina
Banca: UFTM
Orgão: UFTM
Provas:
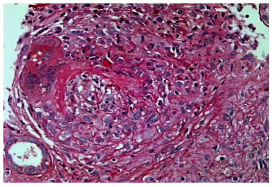
Aproximadamente 60 % dos glomérulos observados em uma biópsia renal estão afetados pela lesão ilustrada abaixo.


enunciado 353592-1

Este achado é mais compatível com qual contexto clínico?
 

Provas

Questão presente nas seguintes provas

Médico - Patologia

50 Questões