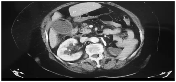
Um paciente de 82 anos de idade, com colecistite aguda, apresenta confusão mental, hipotensão refratária a cristaloide e leucocitose de 22 mil, com creatinina de 2,5 g/dl. Tem antecedente de infarto de miocárdio há dois anos, diabete e hipertensão. Realizou a tomografia abaixo para ajudar na orientação.

Com base nesse caso hipotético, assinale a alternativa correta quanto à melhor opção.