Analise a imagem.
Material: Esfregaço periférico

(Imagem gentilmente cedida pelo Laboratório de Análises Clínicas do Centro Universitário FMABC)
O esfregaço de sangue venoso revela qual tipo de poiquilocitose sinalizada pelas setas?
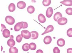
Analise a imagem.
Material: Esfregaço periférico

(Imagem gentilmente cedida pelo Laboratório de Análises Clínicas do Centro Universitário FMABC)
O esfregaço de sangue venoso revela qual tipo de poiquilocitose sinalizada pelas setas?