Magna Concursos
3524451 Ano: 2024
Disciplina: Odontologia
Banca: FEPESE
Orgão: Pref. Concórdia-SC

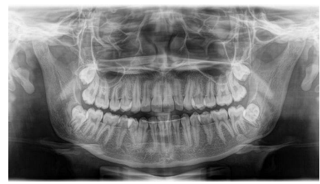
Analise a radiografia abaixo:

Enunciado 4054303-1

A imagem ilustrada refere-se de um raio-x do tipo:

 

Provas

Questão presente nas seguintes provas

Auxiliar de Consultório Odontológico

30 Questões