Considere o caso clínico a seguir, para responder à questão.
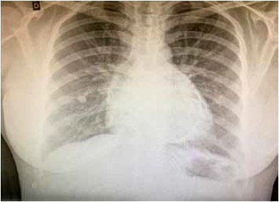
Paciente do sexo feminino, 43 anos, procura o pronto-socorro com queixa de dor torácica há 1 semana, do tipo pontada, retroesternal, sem irradiação e de caráter progressivo e contínuo, evoluindo com dispneia aos esforços há 2 dias. Sem comorbidades prévias e sem uso de medicações contínuas. Realizou a radiografia de tórax a seguir.

Ao exame físico, qual sinal clínico pode ser encontrado diante da suspeita clínica?