Magna Concursos
3544364 Ano: 2024
Disciplina: Medicina
Banca: VUNESP
Orgão: Pref. Peruíbe-SP
Provas:

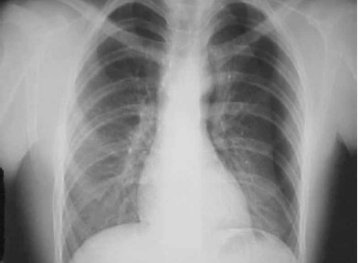
Homem de 38 anos deu entrada no Pronto-Socorro trazido por amigos, com relato de ferimento por arma branca em região do tronco à esquerda, após briga em um bar. Não houve atendimento pré-hospitalar. Chegou após 15 minutos do episódio e apresentava-se alcoolizado, agitado, reagindo a dor, com dificuldade para respirar e inspirações profundas e pausadas. Exame físico: ferimento penetrante por arma branca, de 6 cm de extensão em hemitórax esquerdo, no 6º EIC, com linha axilar média com presença de traumatopneia. Inspirações profundas e com pausas e uso de musculatura acessória. Presença de enfisema subcutâneo, diminuição da expansibilidade com hipertimpanismo à percussão e ausência de MV em HTE. FR = 24 mrpm . Saturação O2: 75%. PA: 115/74 mmHg. FC: 122 bpm. RX tórax demonstrado.

Enunciado 4099940-1

(www.bibliomed.com.br)

As condutas que deverão ser realizadas na etapa B do atendimento primário desse paciente, na sala de emergência, deverão ser:

 

Provas

Questão presente nas seguintes provas

Médico - Cirurgia Geral

50 Questões