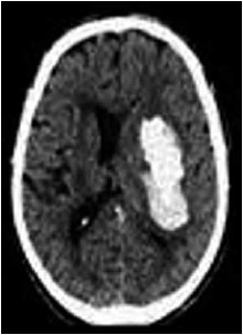
Paciente de 57 anos, masculino, hipertenso sem controle adequado, é admitido na emergência com quadro de hemiplegia súbita à esquerda e disartria. Na admissão, apresenta Glasgow de 13, afebril, pressão arterial aferida de 200/130 mmHg e glicemia capilar de 87 mg/dL. Tomografia de crânio abaixo.

(https://www.google.com.br/imgres)
Assinale a alternativa correta referente ao tratamento inicial para este paciente.