Magna Concursos
2538687 Ano: 2016
Disciplina: Odontologia
Banca: CESPE / CEBRASPE
Orgão: TCE-PA
Enunciado 3545548-1
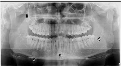
Julgue o item seguinte, a respeito dos pontos anatômicos assinalados pelos números de 1 a 4 na radiografia panorâmica apresentada.
O número 1 assinala o local em que se insere o músculo responsável pela elevação e retrusão da mandíbula.
 

Provas

Questão presente nas seguintes provas

Auditor de Controle Externo - Odontologia

120 Questões