Magna Concursos
2849558 Ano: 2022
Disciplina: Biologia
Banca: UEG
Orgão: UEG

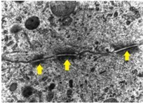
A utilização de microscopia eletrônica em universidades não é frequente, uma vez que esses equipamentos têm custos elevados para aquisição, manutenção e utilização. Na tentativa de contornar essas deficiências, existe a possibilidade de analisar a imagem obtida por microscopia eletrônica e disponibilizá-la em mídias digitais ou impressas. A imagem, a seguir, foi obtida de microscopia eletrônica. Sua análise permite concluir que as estruturas indicadas pelas setas são denominadas de

Enunciado 2954201-1

 

Provas

Questão presente nas seguintes provas

Analista de Gestão - Medicina Veterinária

80 Questões